明明已經好勤力刷牙,亦都唔飲咖啡、茶(雖然有飲可樂XD)
岩岩初出社會工作時因為公司有牙齒保健既保險,所以每年都會去見牙醫洗洗牙,我第一次就問牙醫點可以白D,牙醫話可以做藍光美白,價錢都貴架,要幾千蚊一次,但都抱住一絲希望,我都係決定做一次試下。
但係...經牙齒檢查之後,原來我係本身既牙既顏色帶灰,亦都無太多既污垢係牙齒表面,所以牙醫話即使做左藍光美白,效果亦唔會太明顯,係牙醫既強烈建議下,我最後係放棄左T^T
過左咁多年,我既希望又燃點起黎啦!

原諒我素顏^^"
黎自意大利既Whitening PRO - Teeth Whitening Centre將藍光美白既科技帶到黎香港,我唔知同好多年前牙醫介紹我做既療程一唔一樣,但價錢平左一大截,時間亦只係40分鐘,就可以令牙齒回復原來色澤,一於試下:)

位於銅鑼灣,地鐵站一出行幾步就到,對我黎講都幾就腳。
地方唔算好大,但勝在簡潔乾淨。

第一件事當然係要了解清楚成個療程啦!
黎到獨立房間填好資料就聽下治療師既講解。
原來牙齒既顏色,主要來自最外層既琺瑯質同內層既象牙質,琺瑯質係透透地既乳白色,會透到微黃既象牙質,所以一般正常既牙齒係象牙色偏黃既。
但隨住飲食及生活習慣、年齡增長,甚至是藥物,都會令牙齒既色澤產生變化。
而今次會為Yandy進行既就係「藍光牙齒美白」既療程。
等我邊做邊講解啦!
首先要刷乾淨D牙仔先,治療師已經準備左個包包俾我 ,入面有齊牙刷、牙膏同漱口水,全新架,用完仲可以帶返走:)
刷完牙,根據VITA色度睇下本身既牙仔顏色,上面門牙係S22,下面犬齒係最黃既一隻牙,S26。
跟住治療師會幫咀仔搽左凡士林先,跟著就用形撐撐開牙肉,露出牙齒,方便一陣照藍光。
治療師仲會放D棉花用黎吸口水,亦都好似軟墊咁,等D牙肉無咁辛苦。
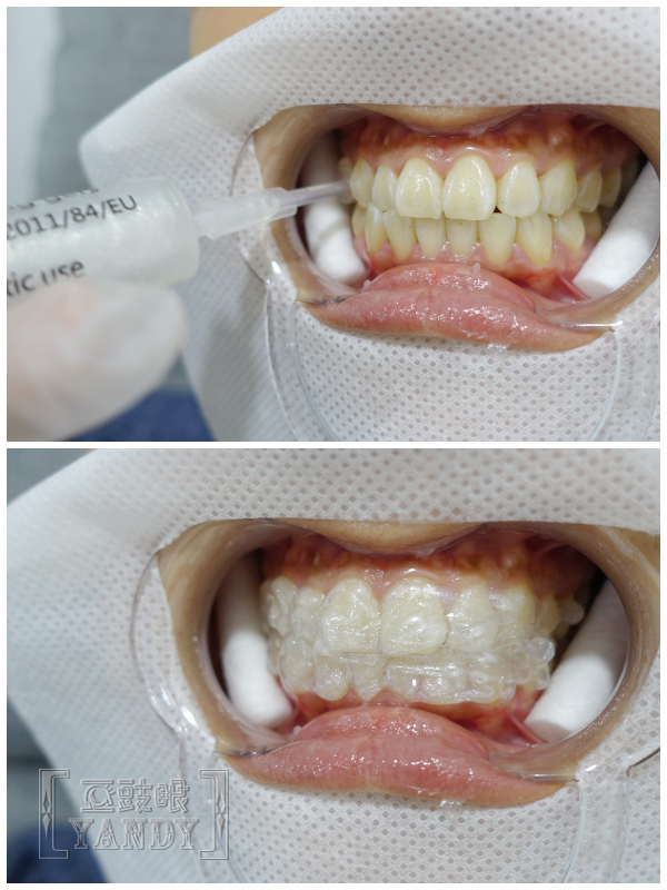
準備好後就可以幫牙齒搽上美白分子啫喱。
Whitening PRO用既係由意大利製造既非過氧化物美白劑 Non-Peroxide低敏成份,分解牙齒表面污漬。有歐盟認證同多項國際認可,不含過氧化氫俗稱雙氧水成份的美白凝膠,無損牙齒、牙肉及口腔內其他軟組織。
白色帶閃粉咁,都幾靚架。
市面上一般美齒中心/美齒產品都會用含有過氧化物 (Hydrogen Peroxide和Carbamide Peroxide) 既酸蝕性藥劑,主要基於價錢平,而且有即時效果,但過氧化物係有好多副作用架,最常見既係會令牙齒酸軟,所以成日聽人話美白完之後牙齒覺得酸軟,就係咁解。
唔單止酸軟,其實過氧化物仲會令琺瑯質變薄,琺瑯質變薄左,就更容易有色素沉積,你都唔想白在一瞬間,之後越洗越黃架,所以以後揀美白牙齒既產品真係要小心睇清楚啦!

跟住就要開始照藍光啦,戴埋保護眼鏡保護雙眼,要照2次,每次20分鐘。
藍光係波長420-490既光源,催化美白分子啫喱發揮效用。
過程中治療師會關暗D燈俾你休息,仲有個救命鐘俾你拎係手,有咩唔舒服想搵治療師幫手就禁響佢啦!
Whitening PRO用既係由意大利製造既非過氧化物美白劑 Non-Peroxide低敏成份,分解牙齒表面污漬。有歐盟認證同多項國際認可,不含過氧化氫俗稱雙氧水成份的美白凝膠,無損牙齒、牙肉及口腔內其他軟組織。
白色帶閃粉咁,都幾靚架。
市面上一般美齒中心/美齒產品都會用含有過氧化物 (Hydrogen Peroxide和Carbamide Peroxide) 既酸蝕性藥劑,主要基於價錢平,而且有即時效果,但過氧化物係有好多副作用架,最常見既係會令牙齒酸軟,所以成日聽人話美白完之後牙齒覺得酸軟,就係咁解。
唔單止酸軟,其實過氧化物仲會令琺瑯質變薄,琺瑯質變薄左,就更容易有色素沉積,你都唔想白在一瞬間,之後越洗越黃架,所以以後揀美白牙齒既產品真係要小心睇清楚啦!

跟住就要開始照藍光啦,戴埋保護眼鏡保護雙眼,要照2次,每次20分鐘。
藍光係波長420-490既光源,催化美白分子啫喱發揮效用。
過程中治療師會關暗D燈俾你休息,仲有個救命鐘俾你拎係手,有咩唔舒服想搵治療師幫手就禁響佢啦!
第一個20分鐘,好快過左,訓得幾舒服,又有D純音樂,差D訓著^^"
治療師入黎再幫我調整下藍光機既位置,就開始第二次20分鐘。
第二個20分鐘,個口都撐開左好一段時間,真心有少少攰,但又唔算太辛苦,唸住D牙仔變白緊,又唸下其他野分散下注意力,好快就過埋第二個20分鐘啦!
咁就可以去刷多次牙,主要係洗走剩底既美白啫喱。
超興奮呀,恨左咁多年終於俾我恨到啦!!!
正如以前牙醫所講,我D牙齒本身係有少少灰既,「藍光牙齒美白」療程只可以幫你還原本來既顏色,並唔係油一層白色上牙齒到,所以D牙齒照樣係灰灰地既,但黃色既係色素沈澱,清理得非常好,唔見左8成。

係時候睇下成果啦!
上面門牙由S22直落S6,足足白淨左16度((拍手
下面最黃既犬齒亦都由S26落到S12,都有14度,治療師話下排效果無咁好係因為我上排既牙齒生得比較前,擋到下排牙齒,所以D藍光照得無咁好,不過美白護理劑不含藥性,全程無痛、無酸軟,我自己對效果已經非常滿意啦:)
同埋岩岩做完會因應本身琺瑯質既厚薄有少少顏色不均,但好快就會正常返。

短短40分鐘既時間,就可以擁有亮白牙齒啦>////<
好似我呢D乜都可以笑一餐既女仔,一排靚牙真係幾重要,雖然黃黃地既時候我都係笑笑笑,但白左笑起黎就更加放心啦:)
我特登搵返張平時既相黎做對比,D牙齒白左,唇色都靚好多,連膚色都顯白D呀:)
雖然牙齒白左,但療程後都要注意返:
♥ 療程後一小時不能進食,所以建議療程前進食
♥ 48小時內不能飲用/食用深色素食品/飲品(但可以用飲筒飲,唔好接觸到牙齒就可以啦!
♥ 48小時內請盡量避免吸煙。
♥ 一星期內避免使用有色牙膏及漱口水等。

最後醒你【新張大優惠】,有興趣就要快手Book啦!
Whitening PRO - Teeth Whitening Centre
地址:銅鑼灣駱克道496-498號合亞大廈12樓A室 (銅鑼灣港鐵站C出口轉右步行十數步)
電話:+852 2148 3383
Whatsapp:+852 5281 0123
電郵:info@whiteningpro.hk
辦公時間:(HK Time) Mon - Sun: 1:00pm - 9:00pm
♥ 48小時內不能飲用/食用深色素食品/飲品(但可以用飲筒飲,唔好接觸到牙齒就可以啦!
♥ 48小時內請盡量避免吸煙。
♥ 一星期內避免使用有色牙膏及漱口水等。
牙齒美白效果能維持一年或以上,因應生活習慣而異,如想達致最佳效果,建議每數個月使用一次。

最後醒你【新張大優惠】,有興趣就要快手Book啦!
Whitening PRO - Teeth Whitening Centre
地址:銅鑼灣駱克道496-498號合亞大廈12樓A室 (銅鑼灣港鐵站C出口轉右步行十數步)
電話:+852 2148 3383
Whatsapp:+852 5281 0123
電郵:info@whiteningpro.hk
辦公時間:(HK Time) Mon - Sun: 1:00pm - 9:00pm
「產品及有關資料由品牌提供」





沒有留言:
張貼留言